For a long time I have been interested in how memories fade away. My audiovisual roadmap back to my home in Korea goes through various iterations as it not only loses its form, but blurs, collapses, and implodes into a permanent state of deformation. "Fading away" is a misleading notion. It implies erasure, which is hardly ever achieved.
Our distance to this amorphous audiovisual matter is fixed. It is its relentless deformation that projects the idea of distance. Yet an unknown trigger can jerk this memory forward at any moment, reminding us through its various deformities of familiar scars or unexpected solace.
Technology has been my medium, its imperfection unknowingly mirroring my own. The latent space of an LLM is not only a blueprint of its design but another mystery entirely.
















































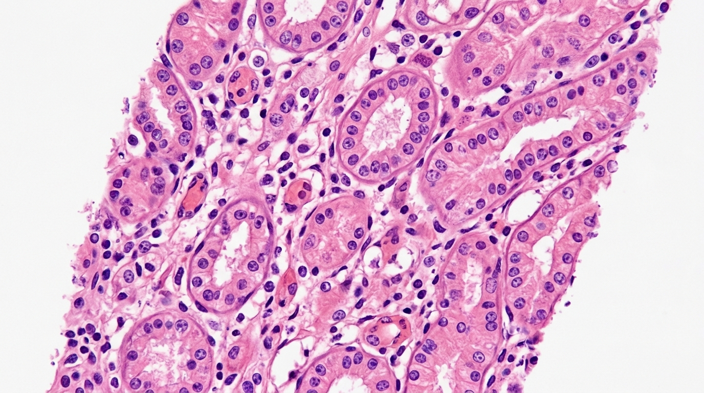
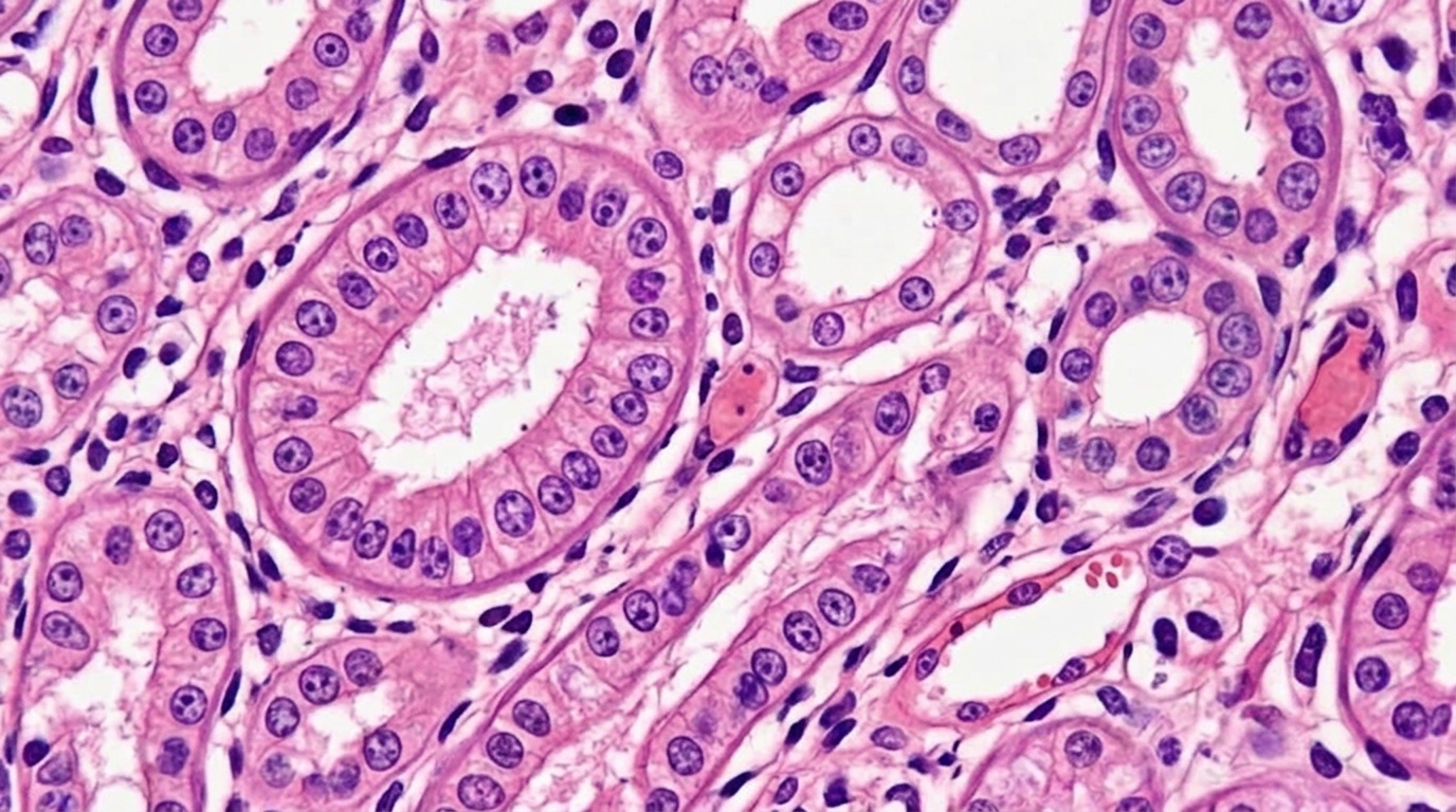
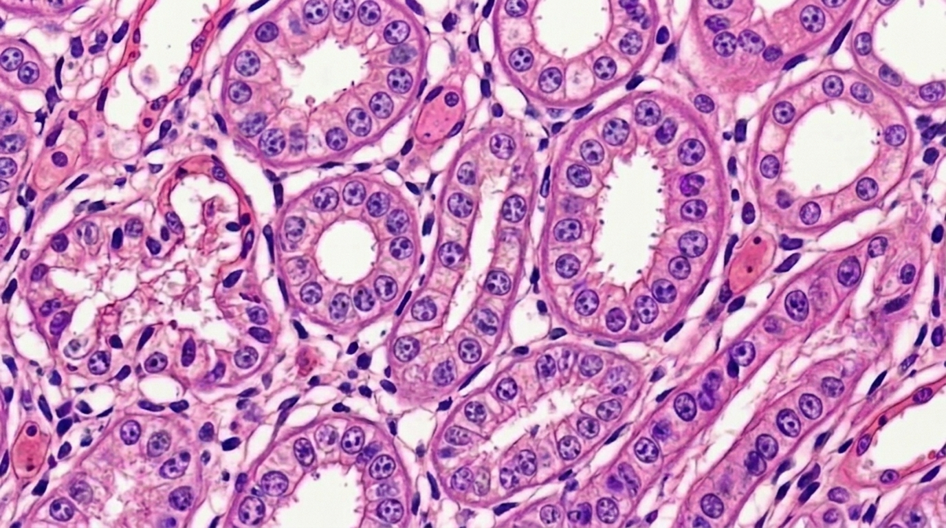
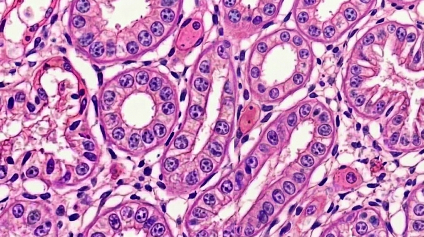
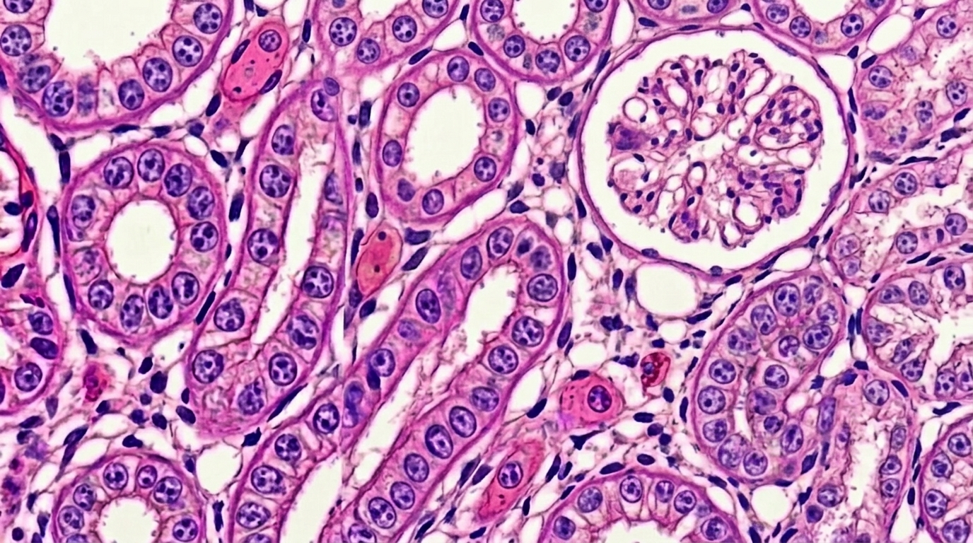
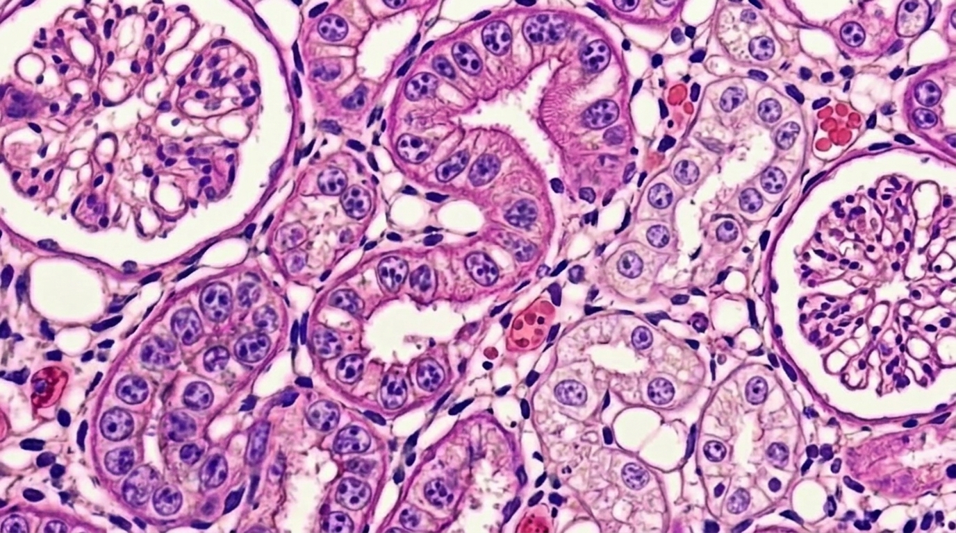
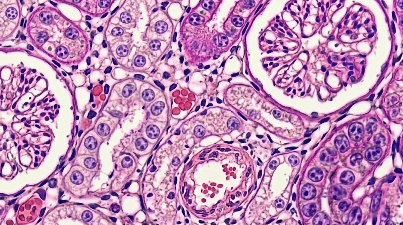
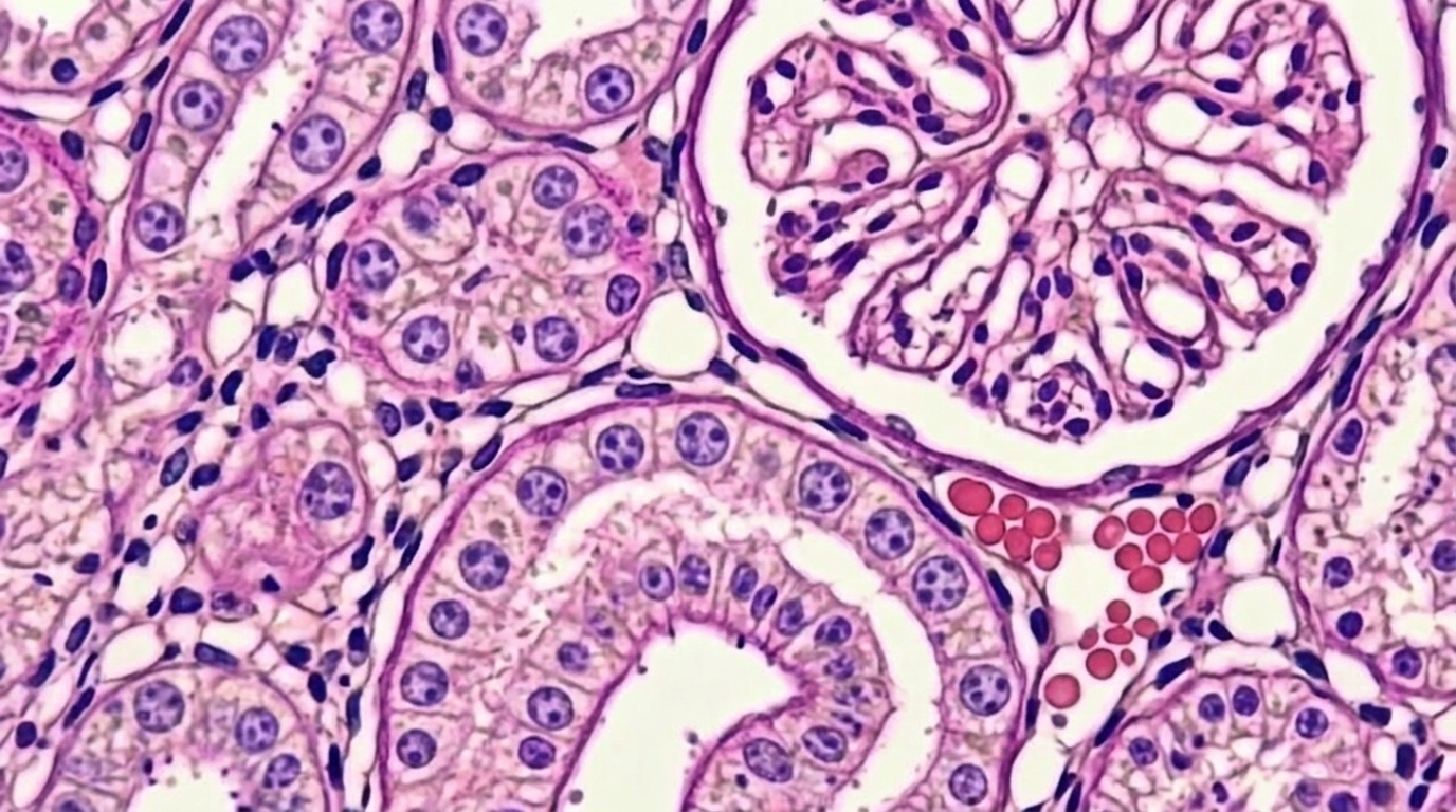
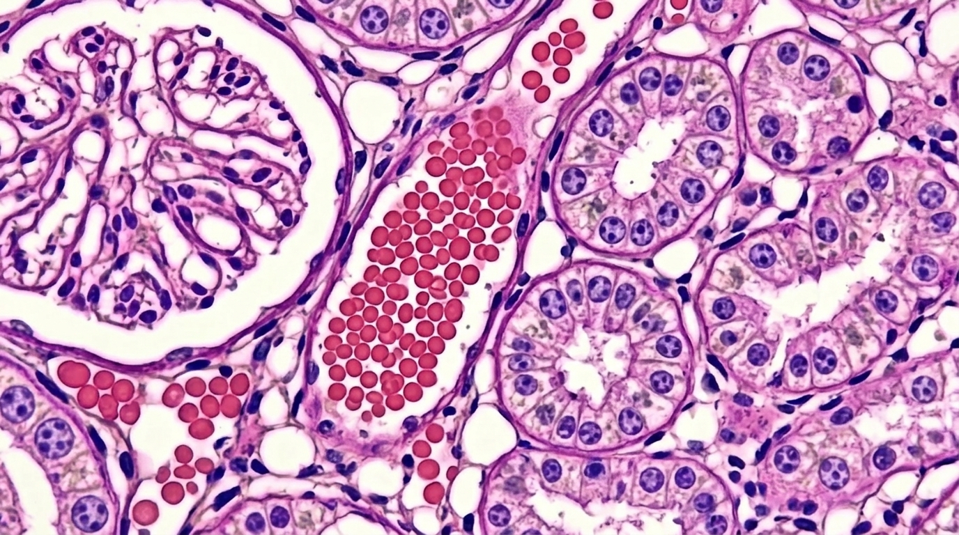
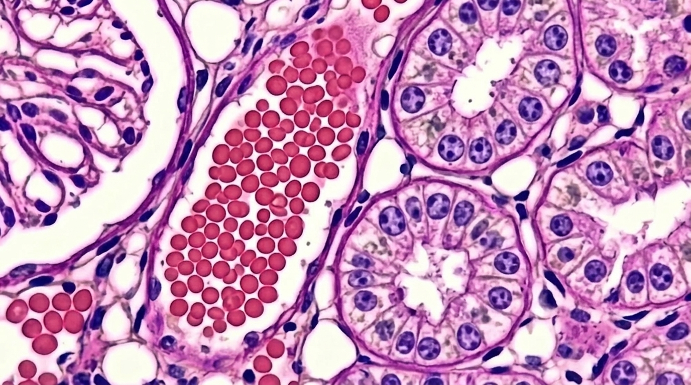
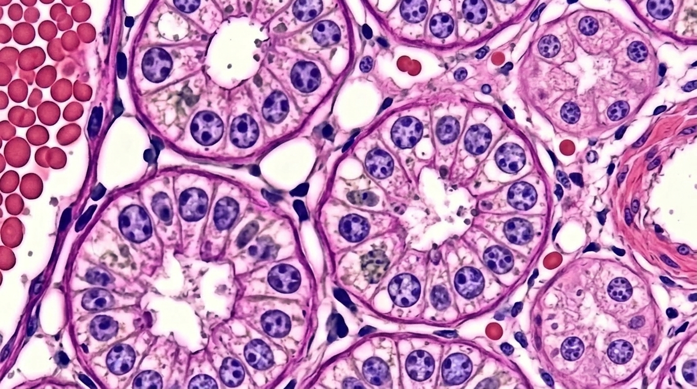
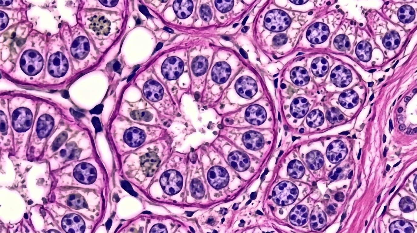
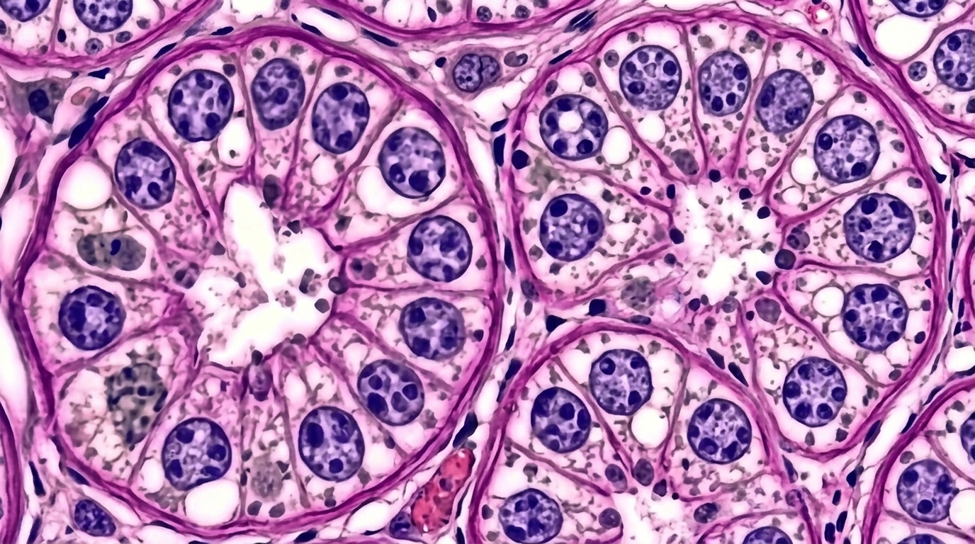
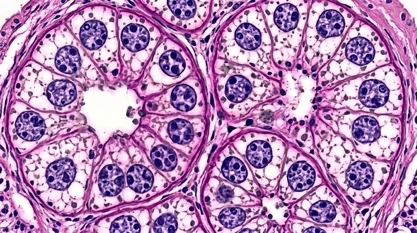
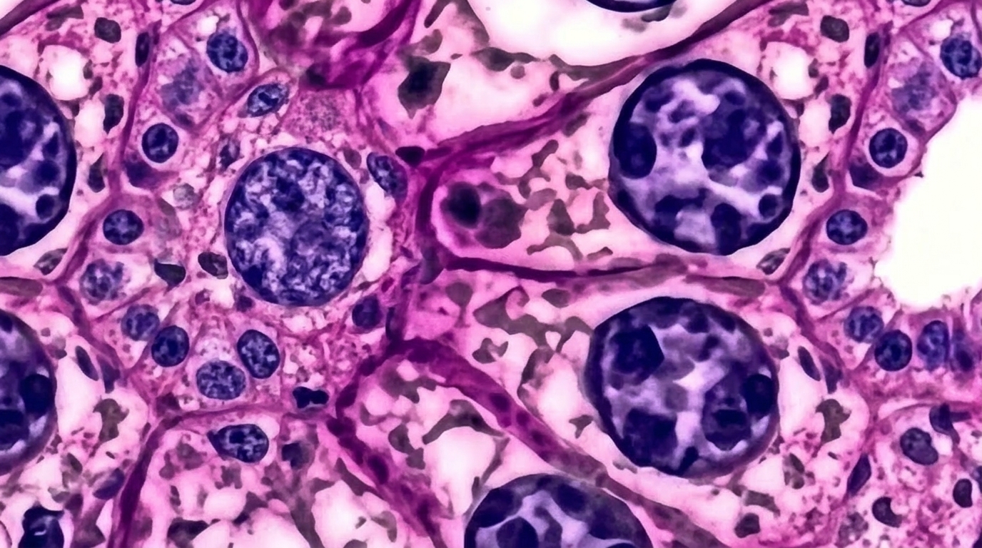
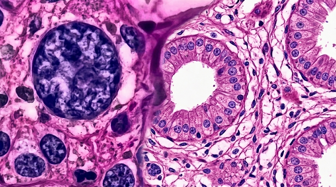
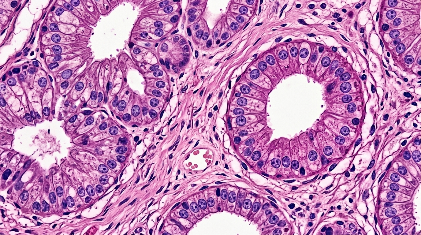
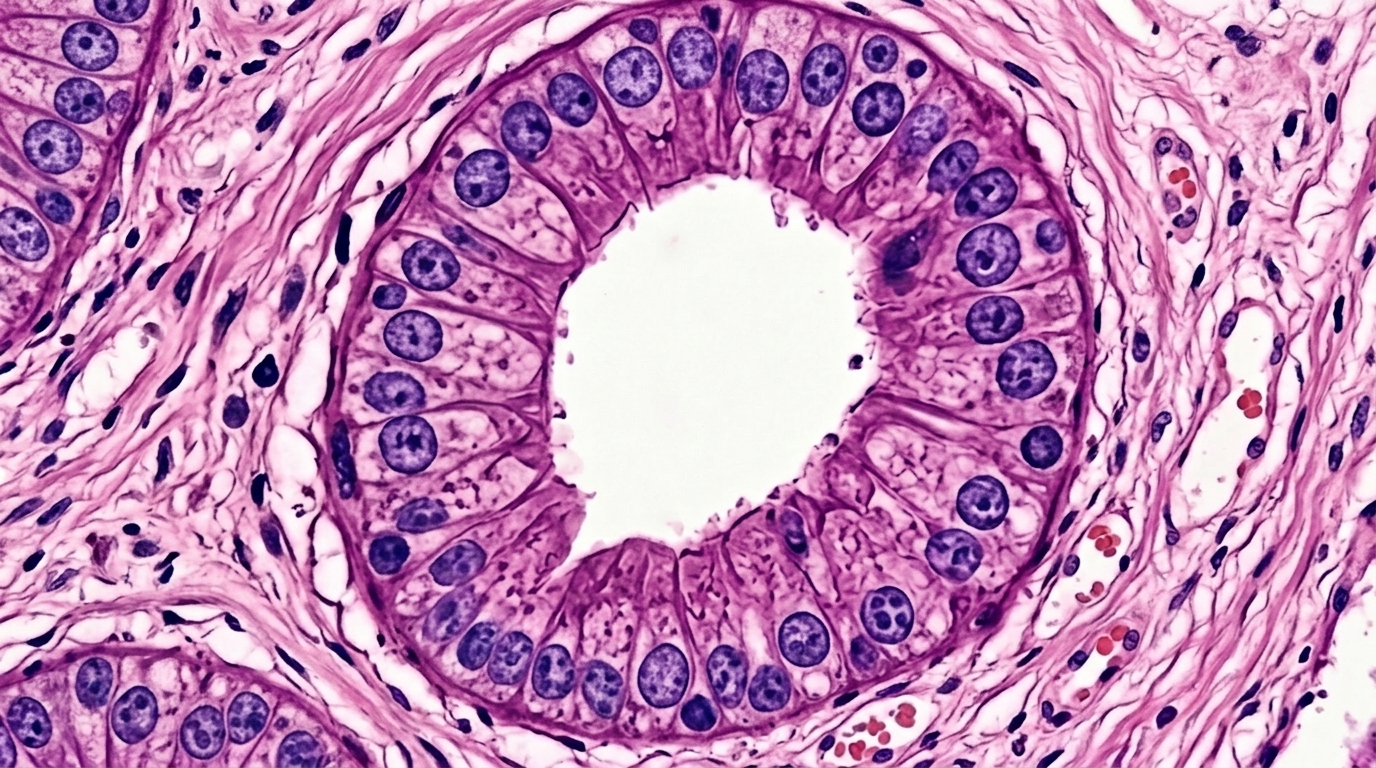
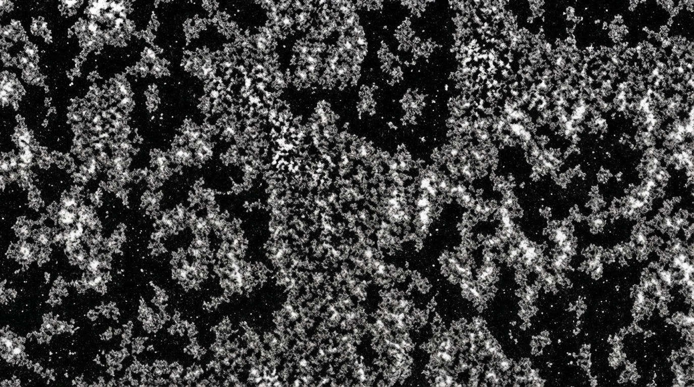
These images were never made to be seen. Aerial surveillance feeds, histopathological scans, LiDAR point clouds, synthetic aperture radar: operational imagery exists to be processed, classified, acted upon. It belongs to systems, not viewers.
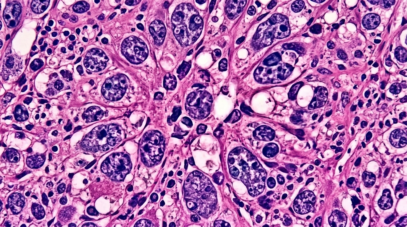
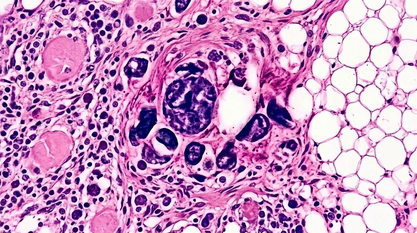
Zoom enters these images at the threshold of their legibility and moves through them recursively, frame by frame, using Google Flow's generative engine as a kind of forced zoom: not into the subject, but into the image's own logic of representation. What begins as readable data progressively loses its function. Structure gives way to texture. Texture gives way to noise. The image no longer knows what it was of.
After Harun Farocki's operational images and Hito Steyerl's poor image theory, this work asks what happens when an image made to see: to target, to diagnose, to map: is instead watched until it forgets itself.




































































































Reconstructing my family's faces through MetaHuman, running photogrammetry from screenshots. The process produced further fractured, imperfect representations — rendered via 3D software into still images. The error is the work.




An image documentary series assembled from footage scraped from the internet — North Korean female soldiers filmed unawares, at rest, at labor, at the margins of official visibility. Images that were never meant to circulate.













Producer
Best Short Film Award, BIFAN (Bucheon International Fantastic Film Festival)
A middle-aged man, his ailing father, and his father's caregiver take a day trip to the bathhouse.






Producer
Best Documentary Short Film Award, AAIFF (Asian American International Film Festival)
Felicia Oh, a Taiwanese drag queen, challenges stereotypes and reshapes perceptions of Asian femininity.






Director — In post-production
A VR exposure therapist and her reluctant Korean client, decades apart in age, confront the same wound: a displacement they have each carried in silence.






Making images & films. LA, NY, Seoul.
tedtaekeunkim@gmail.com